|
Figure 1. Hydropathy plot model of huNKCC2. The symbols represent amino acid residues, showing the protein segments Nt2NKCC2(51–179), Ct1NKCC2(657–836), and Ct2NKCC2(841–1099) in gray and the localization of the alternatively spliced exon in white. The nomenclature used to designate these protein segments is explained in MATERIALS AND METHODS and in Table III. The model of huNKCC2 was drawn using the program PLOT (Biff Forbush).
|
|
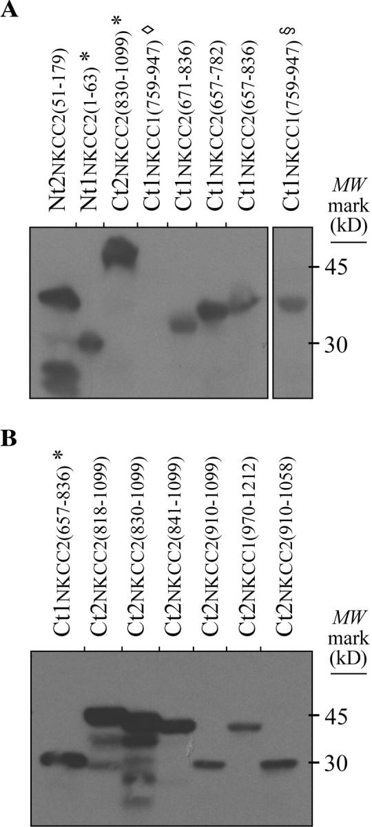
Figure 2. Western analyses. Proteins were extracted from yeast with a lysis solution containing glass beads, 8 M urea, 40 mM Tris-HCl, 0.1 mM EDTA, 125 µM β-mercaptoethanol, 5% SDS, and protease inhibitors (final pH 6.8). In the top panel, the protein extracts were from NKCC/pGilda-transformed cells and the analyses were performed with ∼2 mg of bait proteins using an anti-LexA Ab. In the bottom panel, the protein extracts were from NKCC/pB42AD-transformed cells and the analyses were performed with ∼0.4 mg of prey proteins using an anti-HA Ab. Here, * indicates that the protein segments expressed by these transformants are currently being studied, ◊, that the protein fragment of interest had apparently degraded, and §, that the protein fragment was from another preparation of Ct1NKCC1(759–947)-transformed yeast but that it was run in a distant lane within the same gel.
|
|
Figure 3. huNKCC2 protein segments represented schematically according to their position in the COOH terminus and their ability to support an interaction. Each horizontal bar corresponds to a huNKCC2 residue or protein segment aligned with the region of Ct to which it corresponds. (A, B, C#, and D) Localization of Ct1 segments coexpressed in yeast with Ct2NKCC2(830–1099) or Ct2NKCC2(841–1099) and of Ct2 segments coexpressed with Ct1NKCC2(657–836). Here, black bars are used to indicate that the protein segment supports an interaction, white bars, that it does not, and the pound sign, that it was analyzed in a previous study. (C) Properties of various protein segments based on previous mapping analyses (Simard et al., 2004a) and on the double hybrid screen. Such properties are illustrated as follows: hatched bars indicate that the protein segment is not required for the Ct1–Ct2 association, light gray bars, that it may or may not be required, and dark gray bars, that it is minimally required but not sufficient; the dark gray bars are referred to in the manuscript as essential interacting regions (EIRs). (E) Properties of protein segments based on the behavior of three additional cotransformants. (F) Positions of residues or consensus binding sites in the huNKCC2 Ct. Here, the asterisks indicate that the residues or consensus sites are conserved between NKCC1 and 2, and the abbreviations FHA, PP1, WW4, PKA1, and PKA2 signify forkhead-associated binding domain, protein phosphatase type 1, [ST]P-containing binding domain, protein kinase A type, and protein kinase A type 2.
|
|
Figure 4. Two-hybrid mapping analyses. Cotransformed yeast were tested for their ability to grow on −UHTL plates (columns +Leu) or generate strong β-gal activity on −UHT + X plates (columns +X-gal). (A) Each cell expresses a different Ct2NKCC2 prey (among those identified during the initial two-hybrid screen) but the same Ct1NKCC2(657–836) bait. (B) Each cell was cotransformed with a huNKCC1- and a huNKCC2-encoding construct using the Ct1 domain of one isoform and the Ct2 domain of the other isoform. (C) Cells coexpress the protein segments shown in Fig. 3 D along with Ct2NKCC2(830–1099) or Ct1NKCC2(657–836), respectively. All of the cotransformants were incubated at 30°C for 3–6 d.
|
|
Figure 5. Flux studies. X. laevis oocytes were injected with saNKCC2A, saNKCC2F, saNKCCC2AF, saNKCC2A + saNKCC2AF, or saNKCC2F + saNKCC2AF (∼2 ng for A or F, and ∼20 ng for AF). Groups of eggs were also injected with H2O alone to determine background cotransporter activity. (A and B) 86Rb influx measured in 13–22 oocytes expressed as means ± SEM. Bumetanide and ouabain were added to the influx and wash solution at a concentration of 250 μM and 10 μM. (C) 22Na influx measured in 9–10 oocytes expressed as means ± SEM. Hydrochlorothiazide, amiloride, and ouabain were added to the influx and wash solution at concentrations of 250, 125, and 125 μM. Here, * indicates that within any given panel, the values are significantly different from those of A or F (P < 0.01).
|
|
Figure 6. Immunofluorescence studies of X. laevis oocytes expressing saNKCC2 variants. The cotransporters were immunolocalized with the anti-P-NKCC antibody (Gagnon et al., 2002; Flemmer et al., 2002) and signals were microphotographed under immunofluorescence microscopy using similar exposure times and representative membrane section among >3 oocytes. The variants shown in this figure are (A) saNKCC2A, (B) saNKCC2F, (C) saNKCC2AF, (D) saNKCC2AF + A, and (E) saNKCC2AF + F. In F, oocytes were injected with H2O as ctl. In each micrograph, the plasma membrane is shown by arrows and lie on the right side of the cytosol.
|
|
Figure 7. RNA expression studies. Semiquantitative RT-PCR experiments using mouse kidney cDNAs as templates and huNKCC2A-, huNKCC2F-, or huβ-actin–specific oligonucleotides as primers. Mice were subjected to a ctl diet, an H2O-rich diet (top panels), or a furosemide-enriched diet (bottom panels) for 7 d (two animals per condition). PCR products were generated three to five times for each primer set over a linear range of DNA amplification vs. time and were electrophoresed on ethidium bromide–stained gels. (A) Representative gels using broken arrows to designate the test lane. Here, the absence of bands at the 200-bp molecular weight mark in the first four lanes indicates that the A or F primers, which share high levels of homology, are nevertheless exon specific. (B) Mean fold-changes in band densities (BD) between ctl and test diets where * indicates that the difference was statistically significant (P < 0.01). Here, values from which means are derived were calculated as follows: BDhuNKCC2 (test diet) ÷ BDhuβ-actin (test diet) ÷ BDhuNKCC2 (ctl diet) ÷ BDhuβ-actin (ctl diet). (C) In situ hybridization studies using two sets of NKCC2 oligoprobes, one that hybridizes with both NKCC2A and NKCC2AF, and another that hybridizes with both NKCC2F and NKCC2AF. These oligoprobes were labeled with [α-35S] dATP and purified on G25-Quick spin RNA columns (Roche). The specificity of these probes is suggested by the localization of the signals in the expected regions of the renal cryosections and was further confirmed by carrying out parallel studies with sense A and F oligoprobes (Table II), both of which revealed no signals (not depicted). All of the cryosections were exposed on Kodak MR-1 films during the same period of time. As in A, broken arrows are used to indicate the test lanes.
|