Click here to close
Hello! We notice that you are using Internet Explorer, which is not supported by Xenbase and may cause the site to display incorrectly.
We suggest using a current version of Chrome,
FireFox, or Safari.
PLoS One
2010 Jun 07;56:e10985. doi: 10.1371/journal.pone.0010985.
Show Gene links
Show Anatomy links
Multiple loss-of-function mechanisms contribute to SCN5A-related familial sick sinus syndrome.
Gui J
,
Wang T
,
Jones RP
,
Trump D
,
Zimmer T
,
Lei M
.
???displayArticle.abstract???
BACKGROUND: To identify molecular mechanisms underlying SCN5A-related sick sinus syndrome (SSS), a rare type of SSS, in parallel experiments we elucidated the electrophysiological properties and the cell surface localization of thirteen human Na(v)1.5 (hNa(v)1.5) mutant channels previously linked to this disease.
METHODOLOGY/PRINCIPAL FINDINGS: Mutant hNa(v)1.5 channels expressed by HEK293 cells and Xenopus oocytes were investigated by whole-cell patch clamp and two-microelectrode voltage clamp, respectively. HEK293 cell surface biotinylation experiments quantified the fraction of correctly targeted channel proteins. Our data suggested three distinct mutant channel subtypes: Group 1 mutants (L212P, P1298L, DelF1617, R1632H) gave peak current densities and cell surface targeting indistinguishable from wild-type hNa(v)1.5. Loss-of-function of these mutants resulted from altered channel kinetics, including a negative shift of steady-state inactivation and a reduced voltage dependency of open-state inactivation. Group 2 mutants (E161K, T220I, D1275N) gave significantly reduced whole-cell currents due to impaired cell surface localization (D1275N), altered channel properties at unchanged cell surface localization (T220I), or a combination of both (E161K). Group 3 mutant channels were non-functional, due to an almost complete lack of protein at the plasma membrane (T187I, W1421X, K1578fs/52, R1623X) or a probable gating/permeation defect with normal surface localisation (R878C, G1408R).
CONCLUSIONS/SIGNIFICANCE: This study indicates that multiple molecular mechanisms, including gating abnormalities, trafficking defects, or a combination of both, are responsible for SCN5A-related familial SSS.
???displayArticle.pubmedLink???
20539757
???displayArticle.pmcLink???PMC2881866 ???displayArticle.link???PLoS One ???displayArticle.grants???[+]
Figure 1. Representative HEK293 whole-cell current recordings for hNav1.5 and SSS-associated mutants.(A) Group 1 mutants produced peak current densities similar to wild-type hNav1.5. (B) Group 2 mutants produced reduced currents. (C) Group 3 mutants produced no current. Table 1 shows average peak current densities and statistics thereof.
Figure 2. Electrophysiological properties of four group 1 mutant channels expressed by HEK293 cells.Individual parameters are summarized in Table 1. (A) Peak current-to-voltage (I–V) relationships. Currents were elicited from the holding potential of −120 mV to the test potentials indicated. (B) Steady-state activation as a function of voltage. (C) Steady-state inactivation as a function of voltage. (D) Recovery from inactivation. Normalized data were fitted to double exponentials yielding the fast and slow time constants listed in Table 1. (E, F) Time constant of inactivation (τh) as a function of voltage. Parameters were obtained from monoexponential fits. Error bars represent the mean ± SEM.
Figure 3. Electrophysiological properties of three group 2 mutant channels expressed by HEK293 cells.Individual parameters are summarized in Table 1. (A) Peak current-to-voltage (I–V) relationships. Currents were elicited from the holding potential of −120 mV to the indicated test potentials. (B) Steady-state activation as a function of voltage. (C) Steady-state inactivation as a function of voltage. (D) Recovery from inactivation. (E) Time constant of inactivation (τh) as function of voltage. Error bars represent the mean ± SEM.
Figure 4. A comparison of normalized peak current amplitudes for wild-type and mutant hNav1.5 channels expressed by two different expression systems.Whole-cell currents were recorded by the patch clamp technique (HEK293 cells) and by the two-microelectrode voltage clamp technique (oocytes) as described in “Methods”. L212P and T220I exhibited similar relative expression levels in both systems. With E161K, D1275N, and P1298L, whole-cell currents, normalized to hNav1.5 values, were significantly smaller for the oocyte system (* indicates p<0.01). Channels classified as group 3 mutants upon expression by HEK293 cells (T187I, R878C, G1408R, W1421X) did not produce detectable Na+ inward currents in the oocyte system, even upon injection of undiluted cRNA (data not shown).
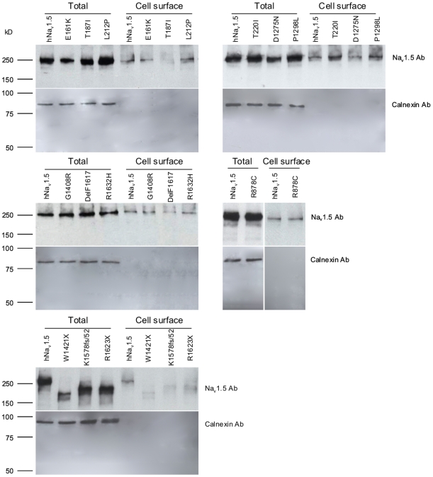
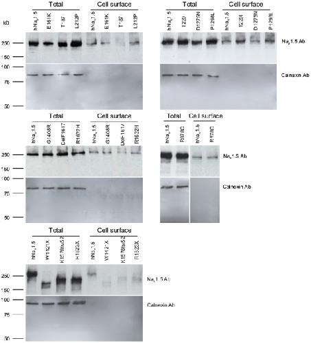
Figure 5. Representative Western blots showing Nav1.5 polypeptides purified from the surface of HEK293 cells by the biotinylation/precipitation procedure (cell surface) and the Nav1.5 polypeptides in HEK293 cell lysates (total).Calnexin was used as a control to demonstrate the absence of endoplasmic reticulum membranes in the isolated plasma membrane fraction.
Figure 6. Correlation between cell surface expression and peak current densities for the thirteen SSS-associated mutant channels.Normalized cell surface signals were obtained by dividing the “cell surface” signal by the corresponding “total” signal; both signals being obtained from the same Western blot (see Fig. 5). A ratio obtained for a mutant was further normalized by dividing with the ratio obtained for wild-type hNav1.5 again from the same blot. The mean double-normalized cell surface signals shown were calculated from at least three independent biotinylation experiments. * indicates p<0.05, ** indicates p<0.01.
Figure 7. Summary of the molecular mechanisms underlying SCN5A-related familial SSS.(A) Proposed membrane topology of hNav1.5 showing the locations of the thirteen SSS-associated mutations investigated here. Compared to wild-type hNav1.5, the mutant channels produced either similar (group 1, white), reduced (group 2, light grey) or no (group 3, dark grey) current. (B) Schematic representation of a sinus node cell and the cellular mechanisms involved in SCN5A-related familial SSS. Early onset of familial SSS occurred (a) when two alleles were affected (compound mutations P1298L/G1408R, DelF1617/R1632H, and T220I/R1623X) [16], or (b) when other risk factors were present (for example, a Cx40 polymorphism combined with L212P; Table 3) [34]. Notably, when wild-type hNav1.5 channels are expressed from the normal allele, most of the mutants also caused other cardiac disorders like BrS, AV block, CCD or DCM, as observed for carriers of T187I, W1421X, K1578fs/52, and E161K (see Discussion and Table 3). In most if not all of these cases, SSS onset relatively late.
Abriel,
Cardiac sodium channel Na(v)1.5 and interacting proteins: Physiology and pathophysiology.
2010, Pubmed
Abriel,
Cardiac sodium channel Na(v)1.5 and interacting proteins: Physiology and pathophysiology.
2010,
Pubmed
Baroudi,
SCN5A mutation (T1620M) causing Brugada syndrome exhibits different phenotypes when expressed in Xenopus oocytes and mammalian cells.
2000,
Pubmed
,
Xenbase
Benson,
Congenital sick sinus syndrome caused by recessive mutations in the cardiac sodium channel gene (SCN5A).
2003,
Pubmed
Blechschmidt,
Voltage-gated Na+ channel transcript patterns in the mammalian heart are species-dependent.
2008,
Pubmed
Brugada,
Right bundle-branch block and ST-segment elevation in leads V1 through V3: a marker for sudden death in patients without demonstrable structural heart disease.
1998,
Pubmed
Brugada,
Further characterization of the syndrome of right bundle branch block, ST segment elevation, and sudden cardiac death.
1997,
Pubmed
Chandler,
Molecular architecture of the human sinus node: insights into the function of the cardiac pacemaker.
2009,
Pubmed
Chen,
Genetic basis and molecular mechanism for idiopathic ventricular fibrillation.
1998,
Pubmed
,
Xenbase
Chen,
Reduced voltage dependence of inactivation in the SCN5A sodium channel mutation delF1617.
2005,
Pubmed
de Marneffe,
The sinus node function: normal and pathological.
1993,
Pubmed
Gellens,
Primary structure and functional expression of the human cardiac tetrodotoxin-insensitive voltage-dependent sodium channel.
1992,
Pubmed
,
Xenbase
Groenewegen,
A cardiac sodium channel mutation cosegregates with a rare connexin40 genotype in familial atrial standstill.
2003,
Pubmed
,
Xenbase
Gui,
Mutation-specific effects of polymorphism H558R in SCN5A-related sick sinus syndrome.
2010,
Pubmed
Kyndt,
Novel SCN5A mutation leading either to isolated cardiac conduction defect or Brugada syndrome in a large French family.
2001,
Pubmed
Laitinen-Forsblom,
SCN5A mutation associated with cardiac conduction defect and atrial arrhythmias.
2006,
Pubmed
Lei,
Sinus node dysfunction following targeted disruption of the murine cardiac sodium channel gene Scn5a.
2005,
Pubmed
Lei,
SCN5A and sinoatrial node pacemaker function.
2007,
Pubmed
Lei,
Genetic Na+ channelopathies and sinus node dysfunction.
2008,
Pubmed
Lown,
Electrical reversion of cardiac arrhythmias.
1967,
Pubmed
Makita,
Congenital atrial standstill associated with coinheritance of a novel SCN5A mutation and connexin 40 polymorphisms.
2005,
Pubmed
Makiyama,
High risk for bradyarrhythmic complications in patients with Brugada syndrome caused by SCN5A gene mutations.
2005,
Pubmed
McNair,
SCN5A mutation associated with dilated cardiomyopathy, conduction disorder, and arrhythmia.
2004,
Pubmed
Niu,
A common SCN5A polymorphism attenuates a severe cardiac phenotype caused by a nonsense SCN5A mutation in a Chinese family with an inherited cardiac conduction defect.
2006,
Pubmed
Olson,
Sodium channel mutations and susceptibility to heart failure and atrial fibrillation.
2005,
Pubmed
Otagiri,
Cardiac ion channel gene mutations in sudden infant death syndrome.
2008,
Pubmed
,
Xenbase
Rodriguez,
Update on sick sinus syndrome, a cardiac disorder of aging.
1990,
Pubmed
Ruan,
Sodium channel mutations and arrhythmias.
2009,
Pubmed
Schott,
Cardiac conduction defects associate with mutations in SCN5A.
1999,
Pubmed
Schulze-Bahr,
Sodium channel gene (SCN5A) mutations in 44 index patients with Brugada syndrome: different incidences in familial and sporadic disease.
2003,
Pubmed
Smits,
A mutation in the human cardiac sodium channel (E161K) contributes to sick sinus syndrome, conduction disease and Brugada syndrome in two families.
2005,
Pubmed
Splawski,
Spectrum of mutations in long-QT syndrome genes. KVLQT1, HERG, SCN5A, KCNE1, and KCNE2.
2000,
Pubmed
Veldkamp,
Contribution of sodium channel mutations to bradycardia and sinus node dysfunction in LQT3 families.
2003,
Pubmed
Verkerk,
Is sodium current present in human sinoatrial node cells?
2009,
Pubmed
Wang,
SCN5A mutations associated with an inherited cardiac arrhythmia, long QT syndrome.
1995,
Pubmed
Wang,
Molecular pathology of X linked retinoschisis: mutations interfere with retinoschisin secretion and oligomerisation.
2006,
Pubmed
Wang,
Molecular genetics of long QT syndrome from genes to patients.
1997,
Pubmed
Wang,
Intracellular retention of mutant retinoschisin is the pathological mechanism underlying X-linked retinoschisis.
2002,
Pubmed
Zhang,
Correlations between clinical and physiological consequences of the novel mutation R878C in a highly conserved pore residue in the cardiac Na+ channel.
2008,
Pubmed
,
Xenbase
Zimmer,
The human heart and rat brain IIA Na+ channels interact with different molecular regions of the beta1 subunit.
2002,
Pubmed
,
Xenbase
Zimmer,
SCN5A channelopathies--an update on mutations and mechanisms.
2008,
Pubmed