Click here to close
Hello! We notice that you are using Internet Explorer, which is not supported by Xenbase and may cause the site to display incorrectly.
We suggest using a current version of Chrome,
FireFox, or Safari.
The expression of αA- and βB1-crystallin during normal development and regeneration, and proteomic analysis for the regenerating lens in Xenopus laevis.
Zhao Y
,
Ju F
,
Zhao Y
,
Wang L
,
Sun Z
,
Liu M
,
Gao L
.
???displayArticle.abstract???
To explore the expression of the lens crystallins (αA- and βB1-crystallin) in Xenopus laevis embryonic lens development and regeneration and to analyze the order of different crystallins generated in the regenerating lens. Real Time-PCR, Immunofluorescence, and 2D-PAGE were used to analyze the expressions of αA-crystallin and βB1-crystallin, and related factors during embryonic lens development and regeneration in Xenopus laevis. αA-crystallin and βB1-crystallin were first detected at stage 29/30 during normal development, and the two crystallins were simultaneously detected in regeneration. During embryonic lens development, the relative expression level of the βB1-crystallin gene was higher than that of the αA-crystallin gene. In the process of the lens regeneration, however, the relative expression level of the βB1-crystallin gene was lower than that of the αA-crystallin gene. Throughout embryonic lens development, the two crystallin transcripts showed the same variation trends, and similar occurrence did in the regeneration process. Crystallins showed different localization and distribution during the ontogeny and regeneration, especially in the lens fiber region. 2D-electrophores revealed the patterns of the sequential synthesis of crystallins, with regard to the different classes and apparent variations of some auxiliary regulatory factors. The ontogeny and localization of the crystallins during embryonic lens development and regeneration indicated a different development program, although they have identical origins, the ectoderm. The expression level of crystallin transcripts displayed a consistent variation tendency, but the presence of appreciable differences was still exposed. In addition to stably producing the crystallins of different classes in accordance with established procedure, these auxiliary factors may perform the function, to some extent, because of significant changes in their expression throughout the process of lens regeneration.
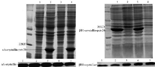
Figure 1. SDS–PAGE for induced expression of recombinant proteins (αA-crystallin-pet28, βB1-crystallin-pet28) and western blotting analysis for the two specific antibodies. Recombinant proteins were expressed in E. coli Rosetta (DE3). Their respective molecular weigh are 19 kDa and 23 kDa. In western blotting analysis, sample 1, 2, and 3 are total lens proteins; samples 4 and 5 are purified fusion proteins. By results, good specificity is shown.
Figure 2. Real-time PCR analysis for transcripts of αA-crystallin and βB1-crystallin during the lens development. Stages are according to the normal table of Nieuwkoop & Faber. The red curve illustrates the relative expression of transcripts of αA-crystallin. From the beginning of expression at stage 26 to stage 38, it displayed an increasing trend. After stage 38, the expression began to decrease. Finally, the expression quantity maintained at a relative stable level. The same went for βB1-crystallin, which is shown by the black curve.
Figure 3. Real time PCR analysis for transcripts of αA-crystallin and βB1-crystallin during lens regeneration. The eyeballs of regenerated lenses were dissected at pre-operation, 0 day, 3 days, 5 days, 7 days, 9 days, 14 days, 21 days, and 30 days after lentectomy. The transcripts of two crystallins showed the same variation trends.
Figure 4. Immunofluorescence for αA-crystallin and βB1-crystallin during embryonic lens development. Sections double-stained with αA-crystallin and βB1-crystallin antisera at different developmental stages, analyzed by confocal microscopy. Some cells express predominantly βB1-crystallin (red) and some αA-crystallin (green). Overall, there is a strong co-localization of these two crystallin proteins throughout the lens cells. First positive immunofluorescence was detected at stage 29/30 (A). At stage 32 (B), a number of cells in the area of the lens rudiment where lens fibers will form. With further differentiation, the lens primary fibers and secondary primary fibers are formed during stage 34–46 (C-H). Negative controls: I (without antibodies); J (only secondary antibodies); K (only primary antibodies); L: differential interference contrast (DIC). Abbreviations: Le, lens; PLF, primary lens fiber; SLF, secondary lens fiber.
Figure 5. Immunofluorescence for αA-crystallin and βB1-crystallin during the lens regeneration. The images show the distribution of αA-crystallin and βB1-crystallin in the process of the regeneration, analyzed by confocal microscopy. The regenerated lenses were dissected at operation: 3 days, 5 days, 7 days, 9 days, 11 days, 15 days, and 21 days, as is shown in A-G, respectively. Negative controls: H (only primary antibodies); I (only secondary antibodies); J: differential interference contrast (DIC). Abbreviations: Le, lens; PLF, primary lens fiber; SLF, secondary lens fiber.
Figure 6. Two-dimensional electrophoresis photography of regenerated lens. A-F: The patterns of protein spots in regenerated lens (5 days, 7 days, 9 days, 11 days, 15 days, 0 day, respectively). The protein patterns are significantly different among all stages of regeneration. Although differences existed, some protein spots just showed the variation of expression quantity.
Altmann,
Lens induction by Pax-6 in Xenopus laevis.
1997, Pubmed,
Xenbase
Altmann,
Lens induction by Pax-6 in Xenopus laevis.
1997,
Pubmed
,
Xenbase
Bosco,
Transdifferentiation of ocular tissues in larval Xenopus laevis.
1988,
Pubmed
,
Xenbase
Brahma,
Ontogeny and localization of the lens crystallins in Xenopus laevis lens regeneration.
1974,
Pubmed
,
Xenbase
Brockes,
Comparative aspects of animal regeneration.
2008,
Pubmed
Brockes,
Plasticity and reprogramming of differentiated cells in amphibian regeneration.
2002,
Pubmed
Brockes,
Regeneration as an evolutionary variable.
2001,
Pubmed
Brunekreef,
Extralenticular expression of Xenopus laevis alpha-, beta-, and gamma-crystallin genes.
1997,
Pubmed
,
Xenbase
Call,
Lens regeneration in mice: implications in cataracts.
2004,
Pubmed
CAMPBELL,
AN IMMUNO-FLUORESCENT STUDY OF LENS REGENERATION IN LARVAL XENOPUS LAEVIS.
1965,
Pubmed
,
Xenbase
Carinato,
Xenopus laevis gelatinase B (Xmmp-9): development, regeneration, and wound healing.
2000,
Pubmed
,
Xenbase
Chaar,
Newt opportunities for understanding the dedifferentiation process.
2006,
Pubmed
Chen,
The mouse beta B1-crystallin promoter: strict regulation of lens fiber cell specificity.
2001,
Pubmed
Chow,
Early eye development in vertebrates.
2001,
Pubmed
Cui,
Mafs, Prox1, and Pax6 can regulate chicken betaB1-crystallin gene expression.
2004,
Pubmed
Filbin,
How inflammation promotes regeneration.
2006,
Pubmed
Filoni,
Experimental analysis of lens-forming capacity in Xenopus borealis larvae.
2006,
Pubmed
,
Xenbase
FREEMAN,
LENS REGENERATION FROM THE CORNEA IN XENOPUS LAEVIS.
1963,
Pubmed
,
Xenbase
Godwin,
Regeneration, tissue injury and the immune response.
2006,
Pubmed
Gwon,
A histologic study of lens regeneration in aphakic rabbits.
1990,
Pubmed
Harty,
Regeneration or scarring: an immunologic perspective.
2003,
Pubmed
Henry,
The cellular and molecular bases of vertebrate lens regeneration.
2003,
Pubmed
Henry,
Cornea-lens transdifferentiation in the anuran, Xenopus tropicalis.
2001,
Pubmed
,
Xenbase
Henry,
Characterizing gene expression during lens formation in Xenopus laevis: evaluating the model for embryonic lens induction.
2002,
Pubmed
,
Xenbase
Horwitz,
Alpha-crystallin can function as a molecular chaperone.
1992,
Pubmed
Ingolia,
Four small Drosophila heat shock proteins are related to each other and to mammalian alpha-crystallin.
1982,
Pubmed
Ishibashi,
Distinct roles of maf genes during Xenopus lens development.
2001,
Pubmed
,
Xenbase
Jakob,
Small heat shock proteins are molecular chaperones.
1993,
Pubmed
Köster,
Ectopic Sox3 activity elicits sensory placode formation.
2000,
Pubmed
Leon,
Lens injury stimulates axon regeneration in the mature rat optic nerve.
2000,
Pubmed
Lois,
A new model of posterior capsule opacification in rodents.
2003,
Pubmed
Madhavan,
The role of Pax-6 in lens regeneration.
2006,
Pubmed
Malloch,
Gene expression profiles of lens regeneration and development in Xenopus laevis.
2009,
Pubmed
,
Xenbase
Martinez-Morales,
Otx genes are required for tissue specification in the developing eye.
2001,
Pubmed
McDevitt,
Ontogeny and localization of the crystallins during embryonic lens development in Xenopus laevis.
1973,
Pubmed
,
Xenbase
McDevitt,
Ontogeny and localization of the alpha, beta, and gamma crystallins in newt eye lens development.
1981,
Pubmed
Mizuno,
Requirement for betaB1-crystallin promoter of Xenopus laevis in embryonic lens development and lens regeneration.
2005,
Pubmed
,
Xenbase
Mizuno,
Expression of crystallin genes in embryonic and regenerating newt lenses.
2002,
Pubmed
Mizuno,
Pax-6 and Prox 1 expression during lens regeneration from Cynops iris and Xenopus cornea: evidence for a genetic program common to embryonic lens development.
1999,
Pubmed
,
Xenbase
Mizuno,
Lens regeneration in Xenopus is not a mere repeat of lens development, with respect to crystallin gene expression.
1999,
Pubmed
,
Xenbase
Piatigorsky,
Lens crystallins. Innovation associated with changes in gene regulation.
1992,
Pubmed
Ring,
Regulation of mouse lens fiber cell development and differentiation by the Maf gene.
2000,
Pubmed
Schaefer,
Conservation of gene expression during embryonic lens formation and cornea-lens transdifferentiation in Xenopus laevis.
1999,
Pubmed
,
Xenbase
Shekhawat,
Lens regeneration in mice under the influence of vitamin A.
2001,
Pubmed
Stocum,
Regenerative biology and medicine.
2002,
Pubmed
STONE,
THE REGENERATION OF THE CRYSTALLINE LENS.
1965,
Pubmed
Straube,
Reversibility of the differentiated state: regeneration in amphibians.
2006,
Pubmed
Tsonis,
A newt's eye view of lens regeneration.
2004,
Pubmed
Tsonis,
Lens and retina regeneration: transdifferentiation, stem cells and clinical applications.
2004,
Pubmed
Walter,
Molecular profiling: gene expression reveals discrete phases of lens induction and development in Xenopus laevis.
2004,
Pubmed
,
Xenbase
Yoshii,
Neural retinal regeneration in the anuran amphibian Xenopus laevis post-metamorphosis: transdifferentiation of retinal pigmented epithelium regenerates the neural retina.
2007,
Pubmed
,
Xenbase