Click here to close
Hello! We notice that you are using Internet Explorer, which is not supported by Xenbase and may cause the site to display incorrectly.
We suggest using a current version of Chrome,
FireFox, or Safari.
???displayArticle.abstract???
Extracellular matrix (ECM) remodeling is a physiologically and developmentally essential process mediated by a family of zinc-dependent extracellular proteases called matrix metalloproteinases (MMPs). In addition to complex transcriptional control, MMPs are subject to extensive post-translational regulation. Because of this, classical biochemical, molecular and histological techniques that detect the expression of specific gene products provide useful but limited data regarding the biologically relevant activity of MMPs. Using benzophenone-bearing hydroxamate-based probes that interact with the catalytic zinc ion in MMPs, active proteases can be covalently 'tagged' by UV cross-linking. This approach has been successfully used to tag MMP-2 in vitro in tissue culture supernatants, and we show here that this probe tags proteins with mobilities consistent with known MMPs and detectable gelatinolytic activity in homogenates of zebrafish embryos. Furthermore, because of the transparency of the zebrafish embryo, UV-photocroslinking can be accomplished in vivo, and rhodamated benzophenone probe is detected in striking spatial patterns consistent with known distributions of active matrix remodeling in embryos. Finally, in metamorphosing Xenopus tadpoles, this probe can be used to biotinylate active MMP-2 by injecting it and cross-linking it in vivo, allowing the protein to be subsequently extracted and biochemically identified.
???displayArticle.pubmedLink???
22952682
???displayArticle.pmcLink???PMC3429480 ???displayArticle.link???PLoS One ???displayArticle.grants???[+]
Figure 2. Hx-BP labels active MMPs in vitro.135 ng of human recombinant MMP-2 (hrMMP-2) was incubated with 0.5 nmol of biotinylated HxBP, with or without activation by APMA and with or without UV crosslinking, then resolved by SDS-PAGE and blotted to PVDF membrane. Streptavidin-HRP detection of biotinylated hrMMP-2 is dependent on both the activation status of the protease, and on exposure to UV light (hv).
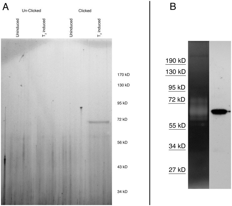
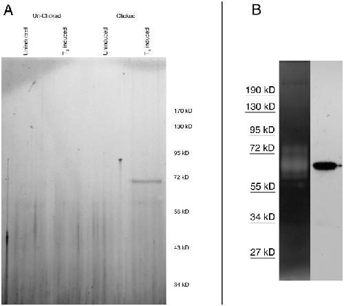
Figure 3. HxBP labels its target proteins in vivo.Live Xenopus tadpoles were injected with HxBP-alkyne, allowed to recover, exposed to UV light, and then sacrificed and protein extracts of the tails were subjected to click chemistry to biotinylate HxBP-tagged proteins. In panel A, biotinylated proteins were affinity purified by avidin chromatography, resolved by SDS-PAGE and detected by silver staining. A single protein with a mobility consistent with xMMP2 is detectable in the lane containing the HxBP-labeled proteome of the larvae that were induced to express xMMP2 by treatment with T3, and then biotinylated by click chemistry. In panel B, tail homogenates were split and run in parallel on a gelatin zymography gel (left) and for blotting to PVDF (right). Blots were probed with streptavidin-HRP, and revealed a single labeled protein at the same mobility as the gelatinolytic xMMP2 band on the zymograph.
Figure 4. HxBP can be UV-photocrosslinked in vivo, and detected in situ by confocal microscopy.Composite confocal micrographs of 24 hpf zebrafish embryos injected anteriorly with 50 µM trifunctional HxBP probe, recovered, and exposed to increasing levels of UV irradiation reveals increasingly spatially structured patterns of fluorescence up to 72 mJ/cm2. Structures exhibiting strong HxBP labeling in 24 hpf embryos include the retina (r) and lens (l), head mesenchyme (hm), hatching gland (hg), perichordal sheath (ps), isolated notochord cells in the elongating region of the notochord (n), maturing myotome boundaries (mb), mesenchymal tissues of the trunk and tail (m), and the basement membrane underlying the epithelium dorsal to the elongating tail (bm). Asterisks mark the point of injection.
Figure 5. HxBP is labeling metalloproteinases in vivo.Composite confocal micrographs of 72 hpf zebrafish embryos injected anteriorly (*) with 50 µM of trifunctional HxBP probe either with (B) or without (A) competition from unlabeled GM6001. Embryos pre-injected with GM6001 show dramatically attenuated HxBP labeling, requiring the data shown in panel B to be collected using 42% increased gain in order to be detectable. Structures showing strong labeling in HxBP labeled 72 hpf embryos include proliferative myofibrils along the anterior lateral midline (m), maturing myotome boundaries (mb), the horizontal myoseptum (hm), individual migratory mesenchyme cells (mc), and the developing vasculature including the dorsal aorta (da), posterior cardinal vein (pcv) and intersomitic vessels (isv). Asterisk marks the injection site. Scale bar is 500 µM.
Figure 6. Details of HxBP labeling patterns reveal dynamics of active matrix remodeling.Z-projections of high magnification confocal micrographs illustrating patterns of HxBP labeling in both 24 hpf (A, B) and 72 hpf (C–H) zebrafish embryos. A) The developing zebrafish eye at 24 hpf, with HxBP labeling migratory mesenchyme (arrowhead), retinal epithelium (r), the choroid fissure and the hatching gland (hg). The lens shows no HxBP labeling, suggesting that matrix remodeling is absent in the lens. B) HxBP labeling the epithelial (e) and mesenchymal tissue (m) around the otic vesicle (ov), but no labeling within the otic vesicle. Primes are single focal planes of confocal stacks used to generate the non-prime panels. C) A ventrolateral view of the head of a 72 hpf embryo showing strong labeling in the developing scleral ossicles. Strong labeling is also evident in individual migratory mesenchyme cells and developing vasculature. D) lateral view of the anterior trunk showing strong labeling in the maturing myotome boundaries (mb), horizontal myoseptum (hm) and in individual myofibrils (mf) situated in the proliferative zone. E) Epithelia of the lateral head and dorsal aspect of the eye showing strong labeling in individual cells and patches of contiguous epithelial cells. F) lateral view of the tail showing strong labeling in migratory mesenchyme cells (mc), as well as labeling in the dorsal aorta (da), posterior cardinal vein (pcv) and intersomitic vessels (isv). G) lateral view of the surface epithelia covering the anterior trunk illustrating the ‘chicken wire’ patterning of HxBP labeling surrounding the periphery of the cells in this tissue. H) A dorsolateral view of the eye, illustrating strong HxBP labeling of mesenchymal cells invading across the surface of the retina and surrounding the lens (l). Scale bars are 50 µm in all panels.
Figure 7. HxBP labeling in a 96 hpf swimming larva.Composite of confocal projections taken of a 96 hpf larva injected (at asterisk) with 50 µM trifunctional HxBP. Strong labeling is evident throughout the developing circulatory system, most notably in the looping vessels of the gill arches (g), the dorsal aorta (da), posterior cardinal vein (pcv), intersomitic vessels (isv), and hyaloid artery (ha). Labeling is also notable in individual migratory mesenchyme cells (mc), the protease-rich stomach (s), horizontal myoseptum (hm) and maturing craniofacial cartilages. Scale bar is 500 µm.
Figure 1. Structure of the Hx-PByne probe.The MMP labeling probes used were versions of this structure (compound 4 in [1]). The hydroxamic acid moiety (pink) chelates the catalytic zinc ion, and the benzophenone moiety (green) functions as a UV-photoactivateable crosslinking group. The terminal alkyne (red) allows the addition of groups such as biotin or rhodamine by click chemistry [1].
Ala-aho,
Collagenases in cancer.
2005,
Pubmed
Ali,
Titin is a target of matrix metalloproteinase-2: implications in myocardial ischemia/reperfusion injury.
2010,
Pubmed
Ali,
Mechanisms of cytosolic targeting of matrix metalloproteinase-2.
2012,
Pubmed
Burrage,
Molecular targets in osteoarthritis: metalloproteinases and their inhibitors.
2007,
Pubmed
Cauwe,
Intracellular substrate cleavage: a novel dimension in the biochemistry, biology and pathology of matrix metalloproteinases.
2010,
Pubmed
Cavallo-Medved,
Live-cell imaging demonstrates extracellular matrix degradation in association with active cathepsin B in caveolae of endothelial cells during tube formation.
2009,
Pubmed
Chen,
Evaluation of multi-target and single-target liposomal drugs for the treatment of gastric cancer.
2008,
Pubmed
Crawford,
Activity and distribution of paxillin, focal adhesion kinase, and cadherin indicate cooperative roles during zebrafish morphogenesis.
2003,
Pubmed
Crawford,
Ontogeny and regulation of matrix metalloproteinase activity in the zebrafish embryo by in vitro and in vivo zymography.
2005,
Pubmed
Curran,
Interplay between Foxd3 and Mitf regulates cell fate plasticity in the zebrafish neural crest.
2010,
Pubmed
Dormán,
Benzophenone photophores in biochemistry.
1994,
Pubmed
Duchossoy,
MMP-related gelatinase activity is strongly induced in scar tissue of injured adult spinal cord and forms pathways for ingrowing neurites.
2001,
Pubmed
Egeblad,
New functions for the matrix metalloproteinases in cancer progression.
2002,
Pubmed
Franz-Odendaal,
Toward understanding the development of scleral ossicles in the chicken, Gallus gallus.
2008,
Pubmed
Hillegass,
Matrix metalloproteinase-13 is required for zebra fish (Danio rerio) development and is a target for glucocorticoids.
2007,
Pubmed
Inohaya,
Species-dependent migration of fish hatching gland cells that express astacin-like proteases in common [corrected].
1997,
Pubmed
Jung,
Matrix metalloproteinases mediate the dismantling of mesenchymal structures in the tadpole tail during thyroid hormone-induced tail resorption.
2002,
Pubmed
,
Xenbase
Kandasamy,
Matrix metalloproteinase-2 and myocardial oxidative stress injury: beyond the matrix.
2010,
Pubmed
Kawaguchi,
Purification and gene cloning of Fundulus heteroclitus hatching enzyme. A hatching enzyme system composed of high choriolytic enzyme and low choriolytic enzyme is conserved between two different teleosts, Fundulus heteroclitus and medaka Oryzias latipes.
2005,
Pubmed
Keow,
Differential in vivo zymography: a method for observing matrix metalloproteinase activity in the zebrafish embryo.
2011,
Pubmed
,
Xenbase
Kimmel,
Stages of embryonic development of the zebrafish.
1995,
Pubmed
,
Xenbase
Kolb,
Click Chemistry: Diverse Chemical Function from a Few Good Reactions.
2001,
Pubmed
Krane,
Matrix metalloproteinases and bone.
2008,
Pubmed
Kudo,
Crystallization and preliminary X-ray analysis of HCE-1, a hatching enzyme of medaka fish, Oryzias latipes.
2004,
Pubmed
Lemaître,
Matrix metalloproteinases in development and disease.
2006,
Pubmed
Lombard,
Assays of matrix metalloproteinases (MMPs) activities: a review.
2005,
Pubmed
Mott,
Regulation of matrix biology by matrix metalloproteinases.
2004,
Pubmed
Nagase,
Structure and function of matrix metalloproteinases and TIMPs.
2006,
Pubmed
Nagy,
The extracellular protease matrix metalloproteinase-9 is activated by inhibitory avoidance learning and required for long-term memory.
2007,
Pubmed
Overall,
In search of partners: linking extracellular proteases to substrates.
2007,
Pubmed
Packard,
Direct visualization of protease activity on cells migrating in three-dimensions.
2009,
Pubmed
Qi,
Mmp23b promotes liver development and hepatocyte proliferation through the tumor necrosis factor pathway in zebrafish.
2010,
Pubmed
Ra,
Control of matrix metalloproteinase catalytic activity.
2007,
Pubmed
Saghatelian,
Activity-based probes for the proteomic profiling of metalloproteases.
2004,
Pubmed
Schulz,
Intracellular targets of matrix metalloproteinase-2 in cardiac disease: rationale and therapeutic approaches.
2007,
Pubmed
Sterchi,
Meprins, membrane-bound and secreted astacin metalloproteinases.
2008,
Pubmed
van Hinsbergh,
Endothelial sprouting and angiogenesis: matrix metalloproteinases in the lead.
2008,
Pubmed
VanSaun,
Matrix metalloproteinases and cellular motility in development and disease.
2006,
Pubmed
von Burstin,
Highly sensitive detection of early-stage pancreatic cancer by multimodal near-infrared molecular imaging in living mice.
2008,
Pubmed
Wlodarczyk,
Extracellular matrix molecules, their receptors, and secreted proteases in synaptic plasticity.
2011,
Pubmed
Wyatt,
The zebrafish embryo: a powerful model system for investigating matrix remodeling.
2009,
Pubmed
Yoong,
Characterization of the zebrafish matrix metalloproteinase 9 gene and its developmental expression pattern.
2007,
Pubmed
Zhang,
The expression of gelatinase A (MMP-2) is required for normal development of zebrafish embryos.
2003,
Pubmed
Zhang,
The expression of novel membrane-type matrix metalloproteinase isoforms is required for normal development of zebrafish embryos.
2003,
Pubmed