Click here to close
Hello! We notice that you are using Internet Explorer, which is not supported by Xenbase and may cause the site to display incorrectly.
We suggest using a current version of Chrome,
FireFox, or Safari.
Parasit Vectors
2015 Jun 25;8:346. doi: 10.1186/s13071-015-0950-y.
Show Gene links
Show Anatomy links
Identification and functional characterization of a novel arginine/ornithine transporter, a member of a cationic amino acid transporter subfamily in the Trypanosoma cruzi genome.
Henriques C
,
Miller MP
,
Catanho M
,
de Carvalho TM
,
Krieger MA
,
Probst CM
,
de Souza W
,
Degrave W
,
Amara SG
.
???displayArticle.abstract???
Trypanosoma cruzi, the etiological agent of Chagas disease, is auxotrophic for arginine. It obtains this amino acid from the host through transporters expressed on the plasma membrane and on the membranes of intracellular compartments. A few cationic amino acid transporters have been characterized at the molecular level, such as the novel intracellular arginine/ornithine transporter, TcCAT1.1, a member of the TcCAT subfamily that is composed of four almost identical open reading frames in the T. cruzi genome. The functional characterization of the TcCAT1.1 isoform was performed in two heterologous expression systems. TcCAT subfamily expression was evaluated by real-time PCR in polysomal RNA fractions, and the cellular localization of TcCAT1.1 fused to EGFP was performed by confocal and immunoelectron microscopy. In the S. cerevisiae expression system, TcCAT1.1 showed high affinity for arginine (K m = 0.085 ± 0.04 mM) and low affinity for ornithine (K m = 1.7 ± 0.2 mM). Xenopus laevis oocytes expressing TcCAT1.1 showed a 7-fold increase in arginine uptake when they were pre-loaded with arginine, indicating that transport is enhanced by substrates on the trans side of the membrane (trans-stimulation). Oocytes that were pre-loaded with [(3)H]-arginine displayed a 16-fold higher efflux of [(3)H]-arginine compared with that of the control. Analysis of polysomal RNA fractions demonstrated that the expression of members of the arginine transporter TcCAT subfamily is upregulated under nutritional stress and that this upregulation precedes metacyclogenesis. To investigate the cellular localization of the transporter, EGFP was fused to TcCAT1.1, and fluorescence microscopy and immunocytochemistry revealed the intracellular labeling of vesicles in the anterior region, in a network of tubules and vesicles. TcCAT1.1 is a novel arginine/ornithine transporter, an exchanger expressed in intracellular compartments that is physiologically involved in arginine homeostasis throughout the T. cruzi life cycle. The properties and estimated kinetic parameters of TcCAT1.1 can be extended to other members of the TcCAT subfamily.
Fig. 1. TcCAT1.1 sequencing alignment and membrane topology. a Alignment between TcCAT1.1 from T. cruzi and LdAAP3 from L. donovani. b Prediction of TcCAT1.1 membrane topology, as determined using HMMTOP server 2.0
Fig. 2. Substrate saturation curves for [3H]-arginine and [14C]-ornithine in the Saccharomyces cerevisiae expression system. a and b are time course curves in (●) galactose-induced and (○) glucose-repressed yeast cells. c and d depict the concentration dependence of the [3H]-arginine and [14C]-ornithine uptake rates in linear ranges. Data from control assays with glucose-repressed cells were subtracted from those from assays with galactose-induced cells, and a Lineweaver-Burk plot of the data is shown in the inset. The results are presented as the mean ± SD of one experiment performed in triplicate
Fig. 3. Trans-stimulation in Xenopus laevis oocytes expressing TcCAT1.1. Oocytes were pre-loaded overnight with 1 mM arginine. Subsequently, uptake assays were performed by incubating oocytes expressing TcCAT1.1 with 100 μM [3H]-arginine. a TcCAT1.1-injected oocytes that were pre-loaded with arginine (●); TcCAT1.1-injected oocytes that were not pre-loaded with arginine (▼); and water-injected oocytes, used as controls (○). b Efflux of [3H]-arginine or arginine sub-products from oocytes injected with TcCAT1.1 cRNA (●) and from control oocytes injected with water (○). Oocytes were pre-loaded for 6 h with 1 μM [3H]-arginine in ND96 buffer. c Effect of proton uncouplers on [3H]-arginine uptake in pre-loaded oocytes expressing TcCAT1.1
Fig. 4. Differential expression of TcCAT subfamily members as determined by real-time polymerase chain reaction. Quantification of polysome-associated mRNA expression during metacyclogenesis >relative to that in epimastigotes in samples obtained from metacyclogenesis experiment. Ribosomal L9(gray) and histone H2B(black) were used as controls to normalize the expression of polysomal mRNAs encoding TcCAT. EPI, replicating epimastigotes; STR, nutritional stress; 3H, parasites after differentiation for 3 h; 12H, parasites after differentiation for 12 h; 24H, parasites after differentiation for 24 h; and MET, metacyclics
Fig. 5. Localization of EGFP-TcCAT1.1 in Trypanosoma cruzi. Stable transfectants of Dm28c over-expressing EGFP-TcCAT1.1 were cloned and maintained in 500 μg/ml of G418. Expression was evaluated by confocal microscopy. Panel (a) shows the intracellular distribution of EGFP-TcCAT1.1 at the anterior regions of the parasite (arrows). Panel (b) shows additional sites of reduced expression following incubation with anti-GFP, including the epimastigote surface (arrow head). Panels (c) and (d) show endocytosis with transferrin-Alexa Fluor 546 (small arrow) after 1 min in ammonium chloride-treated epimastigotes (c) and after 15 min (d). Panels (e) and (f) show the results of labeling with anti-RAB7 (small arrow) to evaluate co-localization of EGFP-TcCAT1.1 (arrow) with the Golgi complex. The left column shows differential interference contrast microscopy, the central column depicts EGFP-TcCAT1.1 expression (green), and the right column shows DAPI labeling of the nucleus and kinetoplast (blue), anti-RAB7, and transferrin-Alexa Fluor 546 tracer (red). N, nucleus; K, kinetoplast; FP, flagellar pocket
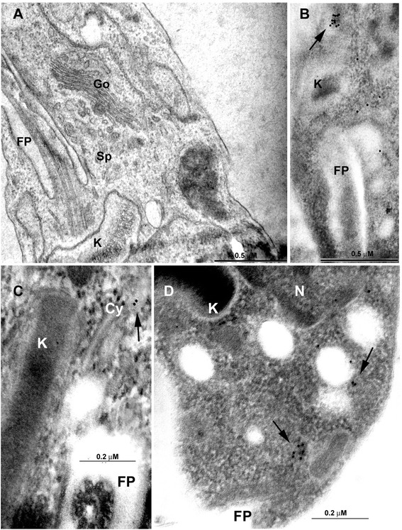
Fig. 6. Ultrastructural localization of EGFP-TcCAT1.1. Stable transfectants of Dm28c epimastigotes over-expressing EGFP-TcCAT1.1 were evaluated by transmission electron microscopy. a Ultrastructural organization of the epimastigote anterior region embedded in epoxy resin. b-d Immunoelectron microscopy to evaluate EGFP-TcCAT1.1 localization in the spongiome region, as observed by gold particle distribution (arrow), after incubation with anti-GFP. N, nucleus; K, kinetoplast; FP, flagellar pocket; Go, Golgi complex; Sp, spongiome; Cy, cytostome
Fig. 7. Time course curve of [3H]-arginine in Trypanosoma cruzi epimastigotes. [3H]-arginine uptake was evaluated in two clones of transgenic Dm28c EGFP-TcCAT1.1 epimastigotes (■,▼), in WT Dm28c (◊), and in transgenic Dm28c-EGFP, used as a control (○)
Altschul,
Gapped BLAST and PSI-BLAST: a new generation of protein database search programs.
1997, Pubmed
Altschul,
Gapped BLAST and PSI-BLAST: a new generation of protein database search programs.
1997,
Pubmed
Altschul,
Basic local alignment search tool.
1990,
Pubmed
Araripe,
Trypanosoma cruzi: TcRAB7 protein is localized at the Golgi apparatus in epimastigotes.
2004,
Pubmed
Ariyanayagam,
Diamine auxotrophy may be a universal feature of Trypanosoma cruzi epimastigotes.
1997,
Pubmed
Arner,
Database of Trypanosoma cruzi repeated genes: 20,000 additional gene variants.
2007,
Pubmed
Arriza,
Functional comparisons of three glutamate transporter subtypes cloned from human motor cortex.
1994,
Pubmed
,
Xenbase
Avila,
Stage-specific gene expression during Trypanosoma cruzi metacyclogenesis.
2003,
Pubmed
Bayer-Santos,
Proteomic analysis of Trypanosoma cruzi secretome: characterization of two populations of extracellular vesicles and soluble proteins.
2013,
Pubmed
Böker,
Scanning electron microscopic studies of Trypanosoma cruzi in the rectum of its vector Triatoma infestans.
1984,
Pubmed
Bouvier,
Post genomic analysis of permeases from the amino acid/auxin family in protozoan parasites.
2004,
Pubmed
Bröer,
The heterodimeric amino acid transporter 4F2hc/y+LAT2 mediates arginine efflux in exchange with glutamine.
2000,
Pubmed
,
Xenbase
Bursell,
Volume-regulatory amino acid release from the protozoan parasite Crithidia luciliae.
1996,
Pubmed
CAMARGO,
GROWTH AND DIFFERENTIATION IN TRYPANOSOMA CRUZI. I. ORIGIN OF METACYCLIC TRYPANOSOMES IN LIQUID MEDIA.
1964,
Pubmed
Canepa,
Biochemical characterization of a low-affinity arginine permease from the parasite Trypanosoma cruzi.
2004,
Pubmed
Carrillo,
Molecular and functional characterization of a spermidine transporter (TcPAT12) from Trypanosoma cruzi.
2006,
Pubmed
,
Xenbase
Carrillo,
Lack of arginine decarboxylase in Trypanosoma cruzi epimastigotes.
2003,
Pubmed
Catanho,
BioParser: a tool for processing of sequence similarity analysis reports.
2006,
Pubmed
Cazzulo,
Protein and amino acid catabolism in Trypanosoma cruzi.
1984,
Pubmed
Cazzulo,
Intermediate metabolism in Trypanosoma cruzi.
1994,
Pubmed
Closs,
Human cationic amino acid transporters hCAT-1, hCAT-2A, and hCAT-2B: three related carriers with distinct transport properties.
1997,
Pubmed
,
Xenbase
Closs,
CATs, a family of three distinct mammalian cationic amino acid transporters.
1996,
Pubmed
Contreras,
In vitro differentiation of Trypanosoma cruzi under chemically defined conditions.
1985,
Pubmed
Contreras,
Production of amastigotes from metacyclic trypomastigotes of Trypanosoma cruzi.
2002,
Pubmed
Coombs,
Amine production by Leishmania mexicana.
1985,
Pubmed
Cruz,
Gene replacement in parasitic protozoa.
1990,
Pubmed
Darlyuk,
Arginine homeostasis and transport in the human pathogen Leishmania donovani.
2009,
Pubmed
Devés,
Transporters for cationic amino acids in animal cells: discovery, structure, and function.
1998,
Pubmed
,
Xenbase
Girard-Dias,
On the ultrastructural organization of Trypanosoma cruzi using cryopreparation methods and electron tomography.
2012,
Pubmed
Goldenberg,
Characterization of messenger RNA from epimastigotes and metacyclic trypomastigotes of Trypanosoma cruzi.
1985,
Pubmed
Habermeier,
Two amino acid residues determine the low substrate affinity of human cationic amino acid transporter-2A.
2003,
Pubmed
,
Xenbase
Hasne,
Identification and characterization of a polyamine permease from the protozoan parasite Leishmania major.
2005,
Pubmed
,
Xenbase
Hasne,
A high-affinity putrescine-cadaverine transporter from Trypanosoma cruzi.
2010,
Pubmed
Hatzoglou,
Regulation of cationic amino acid transport: the story of the CAT-1 transporter.
2004,
Pubmed
Henriques,
Molecular and functional characterization of the first nucleobase transporter gene from African trypanosomes.
2003,
Pubmed
,
Xenbase
Henriques,
Bioluminescent imaging of Trypanosoma cruzi infection in Rhodnius prolixus.
2012,
Pubmed
Henriques,
In vivo imaging of mice infected with bioluminescent Trypanosoma cruzi unveils novel sites of infection.
2014,
Pubmed
Hernández,
Arginine decarboxylase in Trypanosoma cruzi, characteristics and kinetic properties.
1999,
Pubmed
Livak,
Analysis of relative gene expression data using real-time quantitative PCR and the 2(-Delta Delta C(T)) Method.
2001,
Pubmed
Lopez,
A feedback transcriptional mechanism controls the level of the arginine/lysine transporter cat-1 during amino acid starvation.
2007,
Pubmed
Lüneburg,
Reference intervals for plasma L-arginine and the L-arginine:asymmetric dimethylarginine ratio in the Framingham Offspring Cohort.
2011,
Pubmed
Majumder,
Biochemical evidence for the presence of arginine decarboxylase activity in Trypanosoma cruzi.
1992,
Pubmed
Miranda,
Trypanosoma cruzi: Oxidative stress induces arginine kinase expression.
2006,
Pubmed
Miranda,
Cationic amino acid uptake constitutes a metabolic regulation mechanism and occurs in the flagellar pocket of Trypanosoma cruzi.
2012,
Pubmed
Otto,
ChromaPipe: a pipeline for analysis, quality control and management for a DNA sequencing facility.
2008,
Pubmed
Peluffo,
L-arginine metabolism during interaction of Trypanosoma cruzi with host cells.
2004,
Pubmed
Pereira,
Trypanosoma cruzi arginine kinase characterization and cloning. A novel energetic pathway in protozoan parasites.
2000,
Pubmed
Pereira,
L-arginine uptake and L-phosphoarginine synthesis in Trypanosoma cruzi.
1999,
Pubmed
Pereira,
Screening of substrate analogs as potential enzyme inhibitors for the arginine kinase of Trypanosoma cruzi.
2003,
Pubmed
Porto-Carreiro,
Trypanosoma cruzi epimastigote endocytic pathway: cargo enters the cytostome and passes through an early endosomal network before storage in reservosomes.
2000,
Pubmed
Rohloff,
Regulatory volume decrease in Trypanosoma cruzi involves amino acid efflux and changes in intracellular calcium.
2003,
Pubmed
Rosenthal,
Biochemical insight into insecticidal properties ofL-Canavanine, a higher plant protective allelochemical.
1986,
Pubmed
Rotmann,
Intracellular accumulation of L-Arg, kinetics of transport, and potassium leak conductance in oocytes from Xenopus laevis expressing hCAT-1, hCAT-2A, and hCAT-2B.
2004,
Pubmed
,
Xenbase
Ruiz,
Rapid changes in polyphosphate content within acidocalcisomes in response to cell growth, differentiation, and environmental stress in Trypanosoma cruzi.
2001,
Pubmed
Russnak,
A family of yeast proteins mediating bidirectional vacuolar amino acid transport.
2001,
Pubmed
Saier,
The transporter classification database.
2014,
Pubmed
Shaked-Mishan,
A novel high-affinity arginine transporter from the human parasitic protozoan Leishmania donovani.
2006,
Pubmed
Silber,
Amino acid metabolic routes in Trypanosoma cruzi: possible therapeutic targets against Chagas' disease.
2005,
Pubmed
Steverding,
The history of Chagas disease.
2014,
Pubmed
Sychrová,
Kinetic properties of yeast lysine permeases coded by genes on multi-copy vectors.
1993,
Pubmed
Torres,
Characterization of an ABCA-like transporter involved in vesicular trafficking in the protozoan parasite Trypanosoma cruzi.
2004,
Pubmed
Vazquez,
Functional analysis of the intergenic regions of TcP2beta gene loci allowed the construction of an improved Trypanosoma cruzi expression vector.
1999,
Pubmed
Vékony,
Human cationic amino acid transporter hCAT-3 is preferentially expressed in peripheral tissues.
2001,
Pubmed
,
Xenbase
Verrey,
CATs and HATs: the SLC7 family of amino acid transporters.
2004,
Pubmed
Yoshida,
Ureotelism and ammonotelism in trypanosomatids.
1978,
Pubmed
Young,
The amino acid/auxin:proton symport permease family.
1999,
Pubmed
Zilberstein,
Transport of nutrients and ions across membranes of trypanosomatid parasites.
1993,
Pubmed