Click here to close
Hello! We notice that you are using Internet Explorer, which is not supported by Xenbase and may cause the site to display incorrectly.
We suggest using a current version of Chrome,
FireFox, or Safari.
???displayArticle.abstract???
The heterochronic gene lin-28 is a regulator of developmental timing in the nematode Caenorhabditis elegans. It must be expressed in the first larval stage and downregulated by the second stage for normal development. This downregulation is mediated in part by lin-4, a 21-nt microRNA. If downregulation fails due to a mutation in a short sequence in the lin-28 3' UTR that is complementary to lin-4, then a variety of somatic cell lineages fail to progress normally in development. Here, we report that Lin-28 homologues exist in diverse animals, including Drosophila, Xenopus, mouse, and human. These homologues are characterized by the LIN-28 protein's unusual pairing of RNA-binding motifs: a cold shock domain (CSD) and a pair of retroviral-type CCHC zinc knuckles. Conservation of LIN-28 proteins shows them to be distinct from the other conserved family of CSD-containing proteins of animals, the Y-box proteins. Importantly, the LIN-28 proteins of Drosophila, Xenopus, and mouse each appear to be expressed and downregulated during development, consistent with a conserved role for this regulator of developmental timing. In addition, the extremely long 3' UTRs of mouse and human Lin-28 genes show extensive regions of sequence identity that contain sites complementary to the mammalian homologues of C. elegans lin-4 and let-7 microRNAs, suggesting that microRNA regulation is a conserved feature of the Lin-28 gene in diverse animals.
Fig. 3. Developmental expression of Drosophila LIN-28. (A) Immunoblot
of cytoplasmic extract from embryos, staged larvae, pupae, and adults
using antiserum raised against full-length recombinant Drosophila LIN-28
protein. The antiserum detects two approximately 30-kD bands. Anti-actin
was used as a loading control. (B) PCR of cDNA prepared from RNA from
animals at different stages of development. Stages are embryos (0, 4,
82, and 124 h of development), first, second, and third instar larvae,
pupae, male and female heads and bodies. M, size marker. Top lanes, PCR
using primers to Drosophila Lin-28 at 1 and 1000 template concentration.
Independent experiments detect Dmlin-28 consistently in embryos
and first instar larvae, but not at other stages. Bottom lanes, control PCR
using primers to rp49, showing template in all lanes.
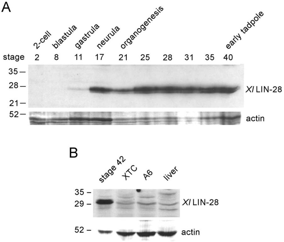
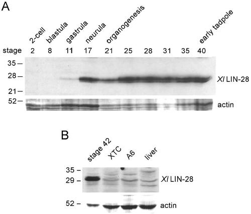
Fig. 4. Developmental expression of Xenopus LIN-28. (A) Immunoblot of Xenopus embryos at different stages of development using antiserum raised against
full-length recombinant Xenopus LIN-28 protein. Five embryos were lysed for each stage and an equivalent fraction of each extract was loaded. The Xenopus
LIN-28 band appears as a doublet. (B) Immunoblot of equivalent amounts of protein from Xenopus tadpoles (stage 42), XTC-2 and A6 tissue culture cells,
and adult liver. Anti-actin was used as a loading control.
Fig. 5. Expression of human and mouse LIN-28 in cultured cells, embryos,
and tissues. (A) Immunoblot of cultured mouse and human cell lines using
antiserum raised against full-length recombinant human LIN-28 protein.
ES fb, mouse embryonic stem cells with mouse fibroblast feeder cells; fb,
mouse fibroblasts alone; MRC-5, human fetal lungfibroblast; HeLa, human
cervical adenocarcinoma; HL-60, human promyelocytic leukemia;
MCF7, human breast adenocarcinoma; A2780, human ovarian adenocarcinoma;
NT2, human embryonal carcinoma; NT2N, neurons from retinoic
acid-treated NT2 cells. Immunoblot using anti-LIN-28 antisera of cultured
cells, embryos and tissues. F9, mouse embryonal carcinoma; P19, mouse
embryonal carcinoma; PA-1, human teratocarcinoma; PC-12, rat adrenal
pheochromocytoma; 9.5d, 10.5d, 12.5d, mouse embryos at 9.5, 10.5, and
12.5 days postcoitum, respectively; neuron, mouse primary hippocampal
neurons; liver, liver from 3- to 4-month-old mice. All samples were
normalized for total protein content. Anti-actin was used as a loading
control. (B) Micrographs of mouse P19 teratocarcinoma cells stained with
anti-LIN-28 antiserum. Left, fluorescence micrograph showing primarily
cytoplasmic staining. Right, a DIC image of the same field.
Fig. 6. Sites complementary to microRNAs miR-125 and let-7 in human and mouse Lin-28. Top, a schematic of the Lin-28 mRNA. The ORF is in gray. The
numbers above the line indicate the positions of the start codon, stop codon, and poly(A) tail, respectively. The black boxes indicate regions of high
sequence identity between mouse and human 3 UTRs; the lengths and percent identity of each of these regions is indicated below the schematic. The
black boxes above the schematic indicate 3 UTR sequences of at least 40 nt having greater than 95% identity between mouse and human. The positions
of the potential miR-125 and let-7 complementary sites are indicated by arrows. Bottom, possible secondary structures formed between the UTR and
microRNAs.