XB-ART-55482
Front Microbiol
2018 Oct 31;9:2617. doi: 10.3389/fmicb.2018.02617.
Show Gene links
Show Anatomy links
Characterization of a Protein Phosphatase Type-1 and a Kinase Anchoring Protein in Plasmodium falciparum.
Lenne A
,
De Witte C
,
Tellier G
,
Hollin T
,
Aliouat EM
,
Martoriati A
,
Cailliau K
,
Saliou JM
,
Khalife J
,
Pierrot C
.
???displayArticle.abstract???
With its multiple regulatory partners, the conserved Protein Phosphatase type-1 (PP1) plays a central role in many functions of the biology of eukaryotic cells, including Plasmodium falciparum. Here, we characterized a protein named PfRCC-PIP, as a major partner of PfPP1. We established its direct interaction in vitro and its presence in complex with PfPP1 in the parasite. The use of Xenopus oocyte model revealed that RCC-PIP can interact with the endogenous PP1 and act in synergy with suboptimal doses of progesterone to trigger oocyte maturation, suggesting a regulatory effect on PP1. Reverse genetic studies suggested an essential role for RCC-PIP since no viable knock-out parasites could be obtained. Further, we demonstrated the capacity of protein region containing RCC1 motifs to interact with the parasite kinase CDPK7. These data suggest that this protein is both a kinase and a phosphatase anchoring protein that could provide a platform to regulate phosphorylation/dephosphorylation processes.
???displayArticle.pubmedLink??? 30429842
???displayArticle.pmcLink??? PMC6220109
???displayArticle.link??? Front Microbiol
Species referenced: Xenopus
Genes referenced: cdknx erg myc npy4r rcc1 tp53 xrcc1 znrd2
???attribute.lit??? ???displayArticles.show???
![]() |
FIGURE 1. Sequence analysis of PfRCC-PIP. (A) Schematic representation of PfRCC-PIP. The RCC and PIP regions with the RVXF motif (in black), two RCC1 (in blue), and one RCC1_2 (in red) motifs are indicated. The portion of PfRCC-PIP detected by Y2H is highlighted in gray. (B) Alignments of the two RCC1 motifs of PfRCC-PIP with RCC1 consensus motif (pfam00415) and RCC1_2 of PfRCC-PIP with RCC1 signature 2 consensus motif (Prosite PS00626). (C) Predicted model of the portion of PfRCC-PIP containing the RCC1 motifs (AA 140â424), based on the structure of human RCC1 (D) (BAA00469.1) (see text footnote 1). Beta sheets are represented by arrows, RCC1 motifs are colored in blue and RCC1_2 motif in red. |
![]() |
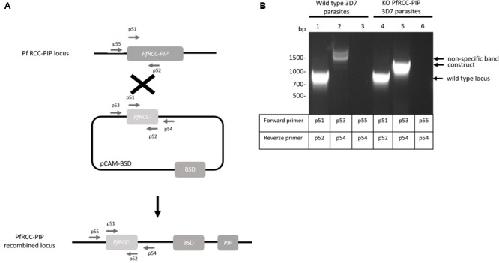
FIGURE 2. Targeted gene disruption of the PfRCC-PIP locus in P. falciparum. (A) Disruption of PfRCC-PIP by a knock-out strategy involving single homologous recombination using the pCAM-BSD vector. The pCAM-BSD construct, the blasticidin-resistance cassette (BSD), the location of the primers used for PCR analysis and the locus resulting from integration are shown. (B) Diagnostic PCR analysis of pCAM-BSD-PfRCC-PIP-transfected 3D7 cultures; lanes 1 to 3 correspond to DNA extracted from wild type 3D7 parasites and lanes 4 to 6 to DNA extracted from transfected parasites. Lanes 1 and 4 represent the detection of the wild type locus (PCR with p51-p52); lanes 2 (presence of non-specific band) and 5 (presence of the specific band at the expected size) represent the detection of the construct (PCR with p53-p54) and lanes 3 and 6 correspond to the integration at the 5â² end of the insert (PCR with p55-p54). |
![]() |
FIGURE 3. Direct interaction between the PIP region of PfRCC-PIP and PfPP1 and involvement of the RVXF motif. (A) Interaction in a yeast two-hybrid assay between the PIP region of PfRCC-PIP wild type (WT) and mutated (980KSASA984), with PfPP1 wild type and mutated (255FF256/AA). Constructs in pGBKT7 were inserted into mat α yeast (Y187 strain), pGADT7 empty and pGADT7-RCC-PIP were inserted in mat a yeast (Y2HGold strain). After transformation, mating experiments were carried out. Diploids were checked on Ddo medium, interactions and strong interactions were examined on Tdo and Qdo medium, respectively. The expression of proteins was checked by western blot analysis of extracts prepared from each yeast strain and revealed with anti-cMyc mAb for wild type and mutated (255FF256/AA) PfPP1 (B) and anti-HA mAb for wild type (C) and mutated (D) PIP region of PfRCC-PIP. (E) Interaction between PfPP1 and PIP region of PfRCC-PIP analyzed by immunoprecipitation. Beads coupled to antibodies raised against PfRCC-PIP or to control antibodies from pre-immune serum were incubated with wild type or mutated PIP region of RCC-PIP and then with PfPP1-GST. Beads were washed, suspended in Laemmli buffer, and eluates were separated by SDSâPAGE and transferred onto nitrocellulose membrane. Immunoblot analysis was performed with the anti-PfRCC-PIP antiserum (upper panel) and with anti-GST antibody (lower panel) to detect PfPP1. Lane 2 shows the interaction of PfPP1 with the wild type PIP region of PfRCC-PIP and lane 4 shows the absence of interaction with the 980KSASA984-mutated protein. As controls, an input of PfPP1-GST (lane 5), the wild type PIP region of PfRCC-PIP (lane 6) or 980KSASA984-mutated (lane 7) were used. |
![]() |
FIGURE 4. Tagging of endogenous RCC-PIP in P. falciparum and localization studies. (A) Knock-in strategy using the vector pCAM-BSD-HA that allows the insertion of an HA epitope at the C-terminus of PfRCC-PIP with a single homologous recombination. The pCAM-BSD construct, the blasticidin-resistance cassette (BSD), the location of the primers used for PCR analysis and the locus resulting from integration are shown. (B) Diagnostic PCR analysis of pCAM-BSD-HA-PfRCC-PIP-transfected Pf3D7 cultures; lanes 1 to 3 correspond to DNA extracted from wild type Pf3D7 parasites and lanes 4 to 6 to DNA extracted from transfected parasites. Lanes 1 and 4 represent the detection of the wild type locus (PCR with p25-p26); lanes 2 and 5 represent the detection of the construct (PCR with p27-p28); and lanes 3 and 6 correspond to the integration at the 5â² end of the insert (PCR with p29-p28). The presence of a PCR product in lane 6 (arrow) confirms the integration of an HA-tagged PfRCC-PIP gene in the locus. (C) Cellular distribution of PfRCC-PIP-HA analyzed by immunofluorescence with anti-HA antibodies. The PfRCC-PIP protein appears in green and the nucleus is stained in blue by DAPI. Upper and lower panels show one erythrocyte infected by one trophozoite and 3 trophozoites, respectively. The fluorescent signal is detected at the periphery of the nucleus. (D) PCR on reverse transcribed RNA from wild type (lanes 1 and 2) or knock-in PfRCC-PIP-HA parasites (lanes 5 and 6). Non-reverse transcribed RNA from PfRCC-PIP-HA parasites was used as negative control (lanes 3 and 4). PCR were performed with primers p29 and p28 to detect the integration (lanes 2, 4, and 6), and p25 and p26 for the control (lanes 1, 3, and 5). The absence of any band in lane 3 indicates the non-contamination of RNA by genomic DNA, and the presence of a fragment at the expected size in lane 6 (arrow) confirms the presence of HA-tagged PfRCC-PIP transcripts in PfRCC-PIP-HA parasites. |
![]() |
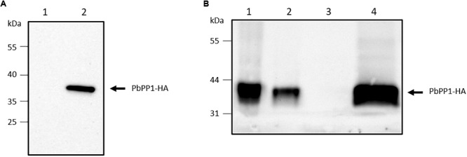
FIGURE 5. Expression of PbPP1-HA in P. berghei. (A) The expression of PbPP1-HA (lane 2) was checked in transfected P. berghei parasites by western blot analysis with an anti-HA antibody, and parental parasites were used as control (lane 1). (B) The solubility of PbPP1-HA in transfected parasites was assessed by immunoprecipitation from the soluble fraction of these parasites. Lanes 1 and 2, correspond to insoluble and soluble fractions of PbPP1-HA parasites, respectively. Lanes 3 and 4 correspond to the immunoprecipitation of the soluble fraction from parental and PbPP1-HA parasites, respectively, using anti-HA beads. The membrane was probed with anti-HA antibodies. |
![]() |
FIGURE 6. Expression of the PIP region of PfRCC-PIP in Xenopus laevis oocytes and role on the induction of Germinal Vesicle BreakDown. (A) Production of the PIP region of PfRCC-PIP in Xenopus oocytes. 15 h after micro-injection of the PIP region of PfRCC-PIP mRNA in Xenopus oocytes, the production of the corresponding protein was checked by western blot probed with an anti-HA antibody. A native oocyte lysate was used as negative control in lane PG. (BâD) Role of the PIP region of PfRCC-PIP on the induction of Germinal Vesicle BreakDown (GVBD). Xenopus oocytes were micro-injected with mRNA of PIP region PfRCC-PIP and were then incubated with or without progesterone (PG) at different concentrations, and GVBD was observed 16 h post injection (B,C) or every 3 h post injection (D). (B) Percentage of GVBD induced by PG (10 μM), by the PIP region of PfRCC-PIP, with or without PG incubation. (C) Percentage of GVBD induced by the PIP region of RCC-PIP in presence of increasing concentrations of PG (0.1 nM to 10 μM). In parallel, oocytes without micro-injection of the PIP region of RCC-PIP were used as control and incubated in the same concentrations of PG. Results are expressed as GVBD percentage (+/âSEM, n = 2), and the Mann-Whitney test was used to evaluate the significance with control oocytes (PG only). âP < 0.05. (D) Kinetic analysis of GVBD induced by wild type vs. mutated PIP region of RCC-PIP in presence of 0.1 nM of PG. (E) Kinetic analysis of protein expression in oocytes lysates after microinjection of mRNA encoding wild type vs. mutated PIP region of PfRCC-PIP. The membrane was probed with anti-HA mAb. (F) Interaction between XePP1 and the PIP region of PfRCC-PIP analyzed by co-immunoprecipitation. The XePP1-PfRCC-PIP complex was immunoprecipitated (IP) with anti-XePP1 antibodies from microinjected Xenopus oocytes, separated by SDSâPAGE and transferred to a nitrocellulose membrane. Western blot (WB) analysis was performed with anti-XePP1 antibodies (lower panel) or anti-HA antibodies (recognizing PfRCC-PIP) (upper panel). A band is observed in upper panel in lysates from oocytes microinjected with wild type PIP region of PfRCC-PIP 3 h after microinjection, indicating an interaction with XePP1. |
![]() |
FIGURE 7. Interaction between RCC region of RCC-PIP and PfCDPK7. (A) Interaction between the RCC region of RCC-PIP and PfCDPK7 in yeast two-hybrid approach. The RCC region of PfRCC-PIP (AA 1â399) was cloned in pGBKT7 vector and the construct was inserted in mat α yeast (Y187). pGADT7 transformed with a fragment of PfCDPK7 (AA 994â1291) isolated from Y2H screening as a potential partner of PfRCC-PIP, was inserted in mat a (Y2HGold) yeast. After mating, diploids were checked on Ddo medium, interactions and strong interactions were examined on Tdo and Qdo medium, respectively. pGADT7 empty, pGBKT7 empty and pGBKT7-laminin were inserted in corresponding yeast strains and used as controls. (B) Direct interaction between RCC region of PfRCC-PIP and PfCDPK7 (AA 994â1291) assessed by GST pulldown assay. Glutathione beads alone (lane 1) or coupled with GST (lane 2), or with PfCDPK7-GST (lane 3) were incubated with the His-tagged recombinant RCC region of PfRCC-PIP. After washes, proteins bound to the beads were separated by SDSâPAGE and blotted onto nitrocellulose. Immunoblot analysis was performed with anti-GST mAb (upper panel) recognizing GST and PfCDPK7-GST proteins and anti-His mAb antibodies (lower panel) recognizing the recombinant RCC region of PfRCC-PIP. As a control, an input of His-tagged RCC region of PfRCC-PIP was used (lane 4). |
References [+] :
Aurrecoechea,
PlasmoDB: a functional genomic database for malaria parasites.
2009, Pubmed
Aurrecoechea, PlasmoDB: a functional genomic database for malaria parasites. 2009, Pubmed
Billker, Calcium-dependent signaling and kinases in apicomplexan parasites. 2009, Pubmed
Bischoff, Catalysis of guanine nucleotide exchange on Ran by the mitotic regulator RCC1. 1991, Pubmed , Xenbase
Bollen, Combinatorial control of protein phosphatase-1. 2001, Pubmed
Bushell, Functional Profiling of a Plasmodium Genome Reveals an Abundance of Essential Genes. 2017, Pubmed
Choy, Understanding the antagonism of retinoblastoma protein dephosphorylation by PNUTS provides insights into the PP1 regulatory code. 2014, Pubmed
Cohen, Protein phosphatase 1--targeted in many directions. 2002, Pubmed
Daher, Regulation of protein phosphatase type 1 and cell cycle progression by PfLRR1, a novel leucine-rich repeat protein of the human malaria parasite Plasmodium falciparum. 2006, Pubmed , Xenbase
Daher, A Toxoplasma gondii leucine-rich repeat protein binds phosphatase type 1 protein and negatively regulates its activity. 2007, Pubmed , Xenbase
Danial, BAD and glucokinase reside in a mitochondrial complex that integrates glycolysis and apoptosis. 2003, Pubmed
Doerig, Post-translational protein modifications in malaria parasites. 2015, Pubmed
Fardilha, The physiological relevance of protein phosphatase 1 and its interacting proteins to health and disease. 2010, Pubmed
Ferrell, The biochemical basis of an all-or-none cell fate switch in Xenopus oocytes. 1998, Pubmed , Xenbase
Fréville, Identification of a Plasmodium falciparum inhibitor-2 motif involved in the binding and regulation activity of protein phosphatase type 1. 2014, Pubmed , Xenbase
Fréville, Plasmodium falciparum encodes a conserved active inhibitor-2 for Protein Phosphatase type 1: perspectives for novel anti-plasmodial therapy. 2013, Pubmed , Xenbase
Fréville, Plasmodium falciparum inhibitor-3 homolog increases protein phosphatase type 1 activity and is essential for parasitic survival. 2012, Pubmed
Guttery, A unique protein phosphatase with kelch-like domains (PPKL) in Plasmodium modulates ookinete differentiation, motility and invasion. 2012, Pubmed
Guttery, Genome-wide functional analysis of Plasmodium protein phosphatases reveals key regulators of parasite development and differentiation. 2014, Pubmed
Hadjebi, The RCC1 superfamily: from genes, to function, to disease. 2008, Pubmed
Harper, Plants, symbiosis and parasites: a calcium signalling connection. 2005, Pubmed
Hendrickx, Docking motif-guided mapping of the interactome of protein phosphatase-1. 2009, Pubmed
Heroes, The PP1 binding code: a molecular-lego strategy that governs specificity. 2013, Pubmed
Hollin, Analysis of the interactome of the Ser/Thr Protein Phosphatase type 1 in Plasmodium falciparum. 2016, Pubmed
Huchon, Protein phosphatase-1 is involved in Xenopus oocyte maturation. 1981, Pubmed , Xenbase
Hurley, Structural basis for regulation of protein phosphatase 1 by inhibitor-2. 2007, Pubmed
Janse, High-efficiency transfection and drug selection of genetically transformed blood stages of the rodent malaria parasite Plasmodium berghei. 2006, Pubmed
Kumar, Regulation of Plasmodium falciparum development by calcium-dependent protein kinase 7 (PfCDPK7). 2014, Pubmed
Le Goascogne, Induction of germinal vesicle breakdown in Xenopus laevis oocytes: synergistic action of progesterone and insulin. 1984, Pubmed , Xenbase
Lesage, Cooperative binding of ApiAP2 transcription factors is crucial for the expression of virulence genes in Toxoplasma gondii. 2018, Pubmed
Margolis, A role for PP1 in the Cdc2/Cyclin B-mediated positive feedback activation of Cdc25. 2006, Pubmed , Xenbase
Mulder, InterPro, progress and status in 2005. 2005, Pubmed
Nemergut, Chromatin docking and exchange activity enhancement of RCC1 by histones H2A and H2B. 2001, Pubmed , Xenbase
Ochoa, Using context to improve protein domain identification. 2011, Pubmed
Ohtsubo, Isolation and characterization of the active cDNA of the human cell cycle gene (RCC1) involved in the regulation of onset of chromosome condensation. 1987, Pubmed
Pierrot, Peptides derived from Plasmodium falciparum leucine-rich repeat 1 bind to serine/threonine phosphatase type 1 and inhibit parasite growth in vitro. 2018, Pubmed
Pino, A tetracycline-repressible transactivator system to study essential genes in malaria parasites. 2012, Pubmed
Rebelo, Protein phosphatase 1 is a key player in nuclear events. 2015, Pubmed
Renault, The 1.7 A crystal structure of the regulator of chromosome condensation (RCC1) reveals a seven-bladed propeller. 1998, Pubmed
Russo, Kicked by Mos and tuned by MPF-the initiation of the MAPK cascade in Xenopus oocytes. 2009, Pubmed , Xenbase
Schillace, Association of the type 1 protein phosphatase PP1 with the A-kinase anchoring protein AKAP220. 1999, Pubmed
Schmitt, Signalling pathways in oocyte meiotic maturation. 2002, Pubmed , Xenbase
Schwach, PlasmoGEM, a database supporting a community resource for large-scale experimental genetics in malaria parasites. 2015, Pubmed
Solyakov, Global kinomic and phospho-proteomic analyses of the human malaria parasite Plasmodium falciparum. 2011, Pubmed
Steen, Recruitment of protein phosphatase 1 to the nuclear envelope by A-kinase anchoring protein AKAP149 is a prerequisite for nuclear lamina assembly. 2000, Pubmed
Tellier, Identification of Plasmodium falciparum Translation Initiation eIF2β Subunit: Direct Interaction with Protein Phosphatase Type 1. 2016, Pubmed , Xenbase
Tewari, The systematic functional analysis of Plasmodium protein kinases identifies essential regulators of mosquito transmission. 2010, Pubmed
Vandomme, PhosphoTyrosyl phosphatase activator of Plasmodium falciparum: identification of its residues involved in binding to and activation of PP2A. 2014, Pubmed , Xenbase
Vernes, Plasmodium falciparum strain-specific human antibody inhibits merozoite invasion of erythrocytes. 1984, Pubmed
Vicogne, Conservation of epidermal growth factor receptor function in the human parasitic helminth Schistosoma mansoni. 2004, Pubmed , Xenbase
Wakula, The translation initiation factor eIF2beta is an interactor of protein phosphatase-1. 2006, Pubmed
Wakula, Degeneracy and function of the ubiquitous RVXF motif that mediates binding to protein phosphatase-1. 2003, Pubmed
Wong, AKAP signalling complexes: focal points in space and time. 2004, Pubmed
Wu, Mutations in yeast protein phosphatase type 1 that affect targeting subunit binding. 2001, Pubmed
Zhang, Uncovering the essential genes of the human malaria parasite Plasmodium falciparum by saturation mutagenesis. 2018, Pubmed
Zhang, Targeting protein kinases in the malaria parasite: update of an antimalarial drug target. 2012, Pubmed
Zhao, A protein phosphatase-1-binding motif identified by the panning of a random peptide display library. 1997, Pubmed