Click here to close
Hello! We notice that you are using Internet Explorer, which is not supported by Xenbase and may cause the site to display incorrectly.
We suggest using a current version of Chrome,
FireFox, or Safari.
Open Biol
2019 Aug 30;98:190117. doi: 10.1098/rsob.190117.
Show Gene links
Show Anatomy links
The anti-parasitic agent suramin and several of its analogues are inhibitors of the DNA binding protein Mcm10.
Paulson CN
,
John K
,
Baxley RM
,
Kurniawan F
,
Orellana K
,
Francis R
,
Sobeck A
,
Eichman BF
,
Chazin WJ
,
Aihara H
,
Georg GI
,
Hawkinson JE
,
Bielinsky AK
.
???displayArticle.abstract???
Minichromosome maintenance protein 10 (Mcm10) is essential for DNA unwinding by the replisome during S phase. It is emerging as a promising anti-cancer target as MCM10 expression correlates with tumour progression and poor clinical outcomes. Here we used a competition-based fluorescence polarization (FP) high-throughput screening (HTS) strategy to identify compounds that inhibit Mcm10 from binding to DNA. Of the five active compounds identified, only the anti-parasitic agent suramin exhibited a dose-dependent decrease in replication products in an in vitro replication assay. Structure-activity relationship evaluation identified several suramin analogues that inhibited ssDNA binding by the human Mcm10 internal domain and full-length Xenopus Mcm10, including analogues that are selective for Mcm10 over human RPA. Binding of suramin analogues to Mcm10 was confirmed by surface plasmon resonance (SPR). SPR and FP affinity determinations were highly correlated, with a similar rank between affinity and potency for killing colon cancer cells. Suramin analogue NF157 had the highest human Mcm10 binding affinity (FP Ki 170 nM, SPR KD 460 nM) and cell activity (IC50 38 µM). Suramin and its analogues are the first identified inhibitors of Mcm10 and probably block DNA binding by mimicking the DNA sugar phosphate backbone due to their extended, polysulfated anionic structures.
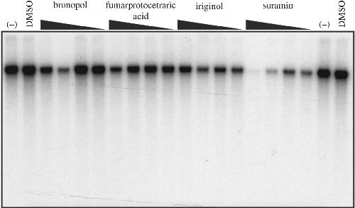
Figure 1. Suramin inhibits DNA replication in an in vitro Xenopus replication assay. HTS hits were evaluated for inhibition of [α-32P]dGTP incorporation into DNA using a cell-free extract prepared from Xenopus eggs at increasing concentrations (10, 50, 150 and 300 µM indicated by black triangle from right to left). No chemical (â) and DMSO were used as negative controls for replication inhibition (far left and far right lanes).
Figure 2. Structures of suramin and suramin analogues.
Figure 3. Binding kinetics of suramin, NF023, NF546, and iso-PPADS to immobilized hMcm10-ID. Note the rapid association and dissociation of NF023 in contrast to the slow on- and off-rates of iso-PPADS. NF546 displays slow and rapid components in both the association and dissociation phases, whereas suramin has predominantly rapid kinetics. Each figure is a representative SPR sensorgram from one of more than three experiments.
Figure 4. The slow binding inhibitor iso-PPADS competes with the fast binder NF023 for the same site on Mcm10. Representative sensorgrams of ABA SPR competition experiments (n > 3) in which injections of NF023 flank an injection of a âcompetitorâ compound: (a) running buffer, (b) NF023 self-competition, (c) suramin, or (d) iso-PPADS with and without NF023 at 10Ã KD. Note that a KD concentration of NF023, suramin, and iso-PPADS produce the expected RU in the B phase (black line), but none produce a greater response than a 10Ã KD concentration of NF023 alone (green line in B phase compared to A phases), indicating that they compete with NF023 for the same site.
Ahmed,
A Second WNT for Old Drugs: Drug Repositioning against WNT-Dependent Cancers.
2016, Pubmed
Ahmed,
A Second WNT for Old Drugs: Drug Repositioning against WNT-Dependent Cancers.
2016,
Pubmed
Altschuler,
A small molecule inhibitor of Pot1 binding to telomeric DNA.
2012,
Pubmed
Anciano Granadillo,
Targeting the OB-Folds of Replication Protein A with Small Molecules.
2010,
Pubmed
Arunkumar,
Independent and coordinated functions of replication protein A tandem high affinity single-stranded DNA binding domains.
2003,
Pubmed
Baxley,
Mcm10: A Dynamic Scaffold at Eukaryotic Replication Forks.
2017,
Pubmed
Berg,
A small-molecule screen identifies the antitrypanosomal agent suramin and analogues NF023 and NF449 as inhibitors of STAT5a/b.
2017,
Pubmed
Cassandri,
Zinc-finger proteins in health and disease.
2017,
Pubmed
Chattopadhyay,
Human Mcm10 regulates the catalytic subunit of DNA polymerase-alpha and prevents DNA damage during replication.
2007,
Pubmed
Cheng,
Repurposing suramin for the treatment of breast cancer lung metastasis with glycol chitosan-based nanoparticles.
2019,
Pubmed
Cui,
Overexpression of MCM10 promotes cell proliferation and predicts poor prognosis in prostate cancer.
2018,
Pubmed
Das-Bradoo,
Interaction between PCNA and diubiquitinated Mcm10 is essential for cell growth in budding yeast.
2006,
Pubmed
De Clercq,
Suramin: a potent inhibitor of the reverse transcriptase of RNA tumor viruses.
1979,
Pubmed
Du,
Structural biology of replication initiation factor Mcm10.
2012,
Pubmed
Eisenberg,
Novel DNA binding properties of the Mcm10 protein from Saccharomyces cerevisiae.
2009,
Pubmed
Fien,
Primer utilization by DNA polymerase alpha-primase is influenced by its interaction with Mcm10p.
2004,
Pubmed
,
Xenbase
Hagenbuchner,
Targeting transcription factors by small compounds--Current strategies and future implications.
2016,
Pubmed
Jameson,
Fluorescence polarization/anisotropy in diagnostics and imaging.
2010,
Pubmed
Kanyo,
Biological recognition of phosphate and sulfate.
1991,
Pubmed
Koval,
Inhibition of Wnt signalling and breast tumour growth by the multi-purpose drug suramin through suppression of heterotrimeric G proteins and Wnt endocytosis.
2016,
Pubmed
Kucherlapati,
Examining transcriptional changes to DNA replication and repair factors over uveal melanoma subtypes.
2018,
Pubmed
Li,
Suramin inhibits cell proliferation in ovarian and cervical cancer by downregulating heparanase expression.
2015,
Pubmed
Liu,
A real-time fluorescence polarization activity assay to screen for inhibitors of bacterial ribonuclease P.
2014,
Pubmed
Liu,
MCM family in HCC: MCM6 indicates adverse tumor features and poor outcomes and promotes S/G2 cell cycle progression.
2018,
Pubmed
Lukas,
53BP1 nuclear bodies form around DNA lesions generated by mitotic transmission of chromosomes under replication stress.
2011,
Pubmed
Mahadevappa,
DNA Replication Licensing Protein MCM10 Promotes Tumor Progression and Is a Novel Prognostic Biomarker and Potential Therapeutic Target in Breast Cancer.
2018,
Pubmed
Meis,
NF546 [4,4'-(carbonylbis(imino-3,1-phenylene-carbonylimino-3,1-(4-methyl-phenylene)-carbonylimino))-bis(1,3-xylene-alpha,alpha'-diphosphonic acid) tetrasodium salt] is a non-nucleotide P2Y11 agonist and stimulates release of interleukin-8 from human monocyte-derived dendritic cells.
2010,
Pubmed
Moreschi,
Extracellular NAD+ is an agonist of the human P2Y11 purinergic receptor in human granulocytes.
2006,
Pubmed
Murray,
Cell cycle extracts.
1991,
Pubmed
Najafabadi,
C2H2 zinc finger proteins greatly expand the human regulatory lexicon.
2015,
Pubmed
Naviaux,
Antipurinergic therapy corrects the autism-like features in the Fragile X (Fmr1 knockout) mouse model.
2015,
Pubmed
Naviaux,
Low-dose suramin in autism spectrum disorder: a small, phase I/II, randomized clinical trial.
2017,
Pubmed
Naviaux,
Reversal of autism-like behaviors and metabolism in adult mice with single-dose antipurinergic therapy.
2014,
Pubmed
Paulsen,
A genome-wide siRNA screen reveals diverse cellular processes and pathways that mediate genome stability.
2009,
Pubmed
Peters,
Bronopol allergic contact dermatitis.
1983,
Pubmed
Razin,
Cys2His2 zinc finger protein family: classification, functions, and major members.
2012,
Pubmed
Ricke,
Mcm10 regulates the stability and chromatin association of DNA polymerase-alpha.
2004,
Pubmed
Robertson,
Solution NMR structure of the C-terminal DNA binding domain of Mcm10 reveals a conserved MCM motif.
2010,
Pubmed
,
Xenbase
Robertson,
Domain architecture and biochemical characterization of vertebrate Mcm10.
2008,
Pubmed
,
Xenbase
Santos,
The effects of para-chloromercuribenzoic acid and different oxidative and sulfhydryl agents on a novel, non-AT1, non-AT2 angiotensin binding site identified as neurolysin.
2013,
Pubmed
Senfter,
Overexpression of minichromosome maintenance protein 10 in medulloblastoma and its clinical implications.
2017,
Pubmed
Sobeck,
Fanconi anemia proteins are required to prevent accumulation of replication-associated DNA double-strand breaks.
2006,
Pubmed
,
Xenbase
Sobeck,
The Fanconi anemia protein FANCM is controlled by FANCD2 and the ATR/ATM pathways.
2009,
Pubmed
,
Xenbase
Steverding,
The development of drugs for treatment of sleeping sickness: a historical review.
2010,
Pubmed
Taylor,
Effects of suramin on in vitro growth of fresh human tumors.
1992,
Pubmed
Thu,
Enigmatic roles of Mcm10 in DNA replication.
2013,
Pubmed
Thu,
MCM10: one tool for all-Integrity, maintenance and damage control.
2014,
Pubmed
Ullmann,
Synthesis and structure-activity relationships of suramin-derived P2Y11 receptor antagonists with nanomolar potency.
2005,
Pubmed
,
Xenbase
Voogd,
Recent research on the biological activity of suramin.
1993,
Pubmed
Wang,
Suramin potently inhibits cGAMP synthase, cGAS, in THP1 cells to modulate IFN-β levels.
2018,
Pubmed
Warren,
Structural basis for DNA binding by replication initiator Mcm10.
2008,
Pubmed
,
Xenbase
White,
Antioxidant activity and mechanisms of action of natural compounds isolated from lichens: a systematic review.
2014,
Pubmed
Wiedemar,
Beyond immune escape: a variant surface glycoprotein causes suramin resistance in Trypanosoma brucei.
2018,
Pubmed