Click here to close
Hello! We notice that you are using Internet Explorer, which is not supported by Xenbase and may cause the site to display incorrectly.
We suggest using a current version of Chrome,
FireFox, or Safari.
Biochem Biophys Res Commun
2003 Mar 07;3022:384-91. doi: 10.1016/s0006-291x(03)00189-x.
Show Gene links
Show Anatomy links
Deregulation of Cdc2 kinase induces caspase-3 activation and apoptosis.
Gu L
,
Zheng H
,
Murray SA
,
Ying H
,
Jim Xiao ZX
.
???displayArticle.abstract???
Progression of the cell cycle and control of apoptosis are tightly linked processes. It has been reported that manifestation of apoptosis requires cdc2 kinase activity yet the mechanism(s) of which is largely unclear. In an attempt to study the role of human MDM2 (HDM2) in interphase and mitosis, we employed the Xenopus cell-free system to study HDM2 protein stability. Interestingly, HDM2 is specifically cleaved in Xenopus mitotic extracts but not in the interphase extracts. We demonstrate that HDM2 cleavage is dependent on caspase-3 and that activation of cdc2 kinase results in caspase-3 activation in the Xenopus cell-free system. Furthermore, expression of cdc2 kinase in mammalian cells leads to activation of caspase-3 and apoptosis. Taken together, these data indicate that deregulation of cdc2 kinase activity can trigger apoptotic machinery that leads to caspase-3 activation and apoptosis.
Fig. 1.
Specific cleavage of HDM2 protein in Xenopus mitotic extract. (A) 1 μl of in vitro translated Full-size image (<1 K)-labeled cyclin B1 was mixed with 10 μl of Xenopus interphase (I) or mitotic (M) extract and incubated at room temperature for 30 min. Five μl of the reaction products was separated on 10% SDS–PAGE. Full-size image (<1 K)-labeled products were detected by autoradiography. (B) One μl of in vitro translated Full-size image (<1 K)-labeled HDM2 (lanes 1 and 2) or p53 (lanes 3 and 4) was mixed with 10 μl of Xenopus interphase (I) or mitotic (M) extract and incubated at room temperature for 30 min. Five μl of the reaction products was separated on 10% SDS–PAGE. Full-size image (<1 K)-labeled HDM2, p53, and the degradation products were detected by autoradiography. (C) One μl of in vitro translated, Full-size image (<1 K)-labeled HDM2 was mixed with 10 μl of Xenopus interphase (I) or mitotic (M) extracts in the presence or absence of proteosome inhibitors MG132 (1.25 mM), ALLN (1.25 mM), or cysteine protease inhibitor E64 (1.25 mM) at room temperature for 30 min. Five μl of the reaction products was separated on 10% SDS–PAGE. Full-size image (<1 K)-labeled products were detected by autoradiography.
Fig. 2.
HDM2 is cleaved at D361, a caspase cleavage site. One μl of an in vitro translated, Full-size image (<1 K)-labeled HDM2 deletion mutant (A) or the caspase cleavage site mutant HDM2 (D361A) (B) was incubated with 10 μl of Xenopus interphase (I) or mitotic (M) extract at room temperature for 30 min (A) or for an indicated time (B). Five μl of the reaction products was separated on 10% SDS–PAGE. Full-size image (<1 K)-labeled products were detected by autoradiography.
Fig. 3.
Activation of caspase-3 in Xenopus mitotic extract. One μl of in vitro translated, Full-size image (<1 K)-labeled HDM2 or N-terminal portion of PARP was mixed with 10 μl of Xenopus interphase (I) or mitotic (M) extract in the absence or presence of caspase-3 inhibitor Ac-DEVD-CHO (100 μM) as indicated. The mixture was incubated at room temperature for 30 min. Five μl of the reaction products was separated on 12% SDS–PAGE. Full-size image (<1 K)-labeled products were detected by autoradiography.
Fig. 4.
Correlation of activation of histone H1 kinase activity and HDM2 cleavage in mitotic extract. (A) Five μl of Xenopus interphase (lane 2) or mitotic (lane 1) extract, 10 μl (∼1.5×106 cells) of Cytochrome C-treated (lane 4) or—untreated (lane 3) Jurkat cell extract (Cell Signaling Technology) was mixed with equal volume of 2× Laemmli’s sample buffer, boiled for 3 min, and separated on 10% SDS–PAGE. Protein expression was detected by Western blot analysis using an antibody specific for active caspase-3 (Cell Signaling Technology). (B) Non-degradable sea urchin cyclin B Δ90 protein (1 mg/ml) was mixed (at the ratio of 1:25) with Xenopus interphase extract containing 1 μl of in vitro translated, Full-size image (<1 K)-labeled HDM2. The mixture was incubated for 0, 10, 30, and 60 min at room temperature. Five μl of products was separated on 10% SDS–PAGE. Full-size image (<1 K)-labeled products were detected by autoradiography. Kinase assay was performed using histone H1 as the substrate and the Full-size image (<1 K)-labeled histone H1 was detected by autoradiography. (C) Ten μl of Xenopus interphase extracts containing 1 μl of using in vitro translated, Full-size image (<1 K)-labeled HDM2 protein was treated with 10 U of recombinant Xenopus MPF at room temperature for 30 min. Treated (lane 2) or non-treated (lane 1) extracts were subjected to cdc2 kinase assay using histone H1 as the substrate and Full-size image (<1 K)-labeled HDM2 products were detected by autoradiography.
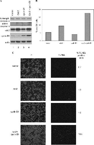
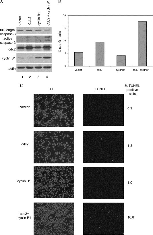
Fig. 5.
Overexpression of cdc2/cyclin B1 in HeLa cells results in caspase-3 activation and apoptosis. HeLa cells were either transfected with vector, cdc2, and cyclin B1 alone, or co-transfected with cdc2 and cyclin B1. Twenty-four hours after transfection, cells were collected. (A) Forty μg of total protein extracts was separated on 10% SDS–PAGE and subjected to Western blot analysis using the antibody specific for full-length caspase-3, activated caspase-3, cdc2, cyclin B1, and actin. (B) Cells (1×105) were subjected to FACS analysis and percentage of sub-G1 cells was analyzed by Cell Quest program. Data shown are representative from two independent experiments. (C) Cells (1×105) were cytospun onto glass slide. TdT-mediated dUTP nick end labeling (TUNEL) assay was performed to detect apoptotic cells. PI-stained cells (red) and TUNEL-positive cells (green) were photographed.